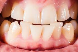
If your teeth feel tight, overlap, or twist out of alignment, you might be dealing with dental crowding—but the great news is, you can unlock a confident smile with crowded teeth solutions that are customized just for you. Crowded Teeth don’t just affect how your smile looks; they make it harder to clean between teeth, increase your risk of gum disease and tooth decay, and may even cause discomfort when chewing. Fortunately, with modern orthodontics and cosmetic dentistry, there are more ways than ever to align your smile and boost your confidence.
Know What Causes Your Teeth to Crowded:
Crowded teeth can develop for a variety of reasons, many of which are out of your control. Understanding these causes helps professionals select the best corrective plan while preventing future relapse.
- Genetics: Small jaws or large teeth inherited from family
- Early baby tooth loss: Creates gaps that allow neighboring teeth to shift
- Delayed adult tooth eruption: Can force teeth to come in crooked
- Jaw development issues: Leads to lack of space for proper alignment
- Poor oral habits: Thumb-sucking, mouth breathing, or extended pacifier use
A dental evaluation will determine the exact cause and guide a treatment plan built for long-term success.
Minor Crowding? Go for Cosmetic Fixes
If your crowding is mostly cosmetic and doesn't impact your bite or jaw, you may not need full orthodontic treatment. A variety of quick, non-invasive solutions can improve your smile’s appearance without months of wear.
- Dental bonding: Builds out smaller teeth to mask overlaps
- Tooth reshaping: Smooths edges and corrects visual misalignment
- Enamel reduction (IPR): Creates subtle space between tight teeth
- Veneers: Custom shells that hide imperfections and gaps
These options are ideal if you want fast, visible improvements without major dental work or commitment.
Moderate Crowding? Clear Aligners to the Rescue
Clear aligners are an increasingly popular solution for moderate crowding, offering a discreet and comfortable path to a more aligned smile—without metal braces.
- Virtually invisible: Perfect for adults and teens in public-facing roles
- Custom-made trays: Each set slowly moves teeth to proper positions
- Removable: Allows you to eat and brush normally
- Comfortable to wear: No wires or brackets causing irritation
Treatment can range from 6 to 18 months, depending on your needs, and many patients see early improvements within the first few months.
Serious Crowding? Traditional Orthodontics Work Best
In cases of severe Crowded Teeth Treatment, you may need more robust treatment options to fully align your teeth and jaws. Traditional orthodontics remains the gold standard for complex corrections.
- Metal braces: Offer the most control for challenging movements
- Ceramic braces: Blend in with your teeth for a less visible option
- Lingual braces: Hidden behind the teeth but just as powerful
- Jaw expanders: Common in children to make room for adult teeth
- Tooth extractions: Sometimes necessary to eliminate overcrowding
These solutions may take longer, but they deliver transformative results that are both functional and visually stunning.
Retention Is the Key to a Lasting Smile:
Once your treatment is complete, keeping your smile in place becomes just as important as the correction process itself. Without proper retention, teeth can shift back over time.
- Wear retainers as instructed: Often nightly, sometimes full-time initially
- Get regular dental check-ups: To monitor movement and oral health
- Avoid grinding or biting habits: These can undo orthodontic progress
- Keep up with hygiene: Healthy gums support aligned teeth
- Start early for kids: Preventive treatment helps avoid severe crowding later
By staying committed to post-treatment care, you’ll protect your smile investment and enjoy lasting confidence every time you show your teeth.
Comments