Overcrowded teeth treatment is a common dental solution sought by individuals who struggle with misaligned, overlapping, or tightly packed teeth. Many people turn to search terms like Dental Clinic Near me or Dental Clinic Near me in Dubai to explore effective ways to correct this condition. Overcrowded teeth are more than a cosmetic issue—they can cause oral health challenges, difficulties in cleaning, and even impact overall confidence. This guide will answer common user queries about how dentists fix overcrowded teeth, what treatments are available, and why correcting this issue is vital for long-term oral health.
What Is the Treatment and How It Works?
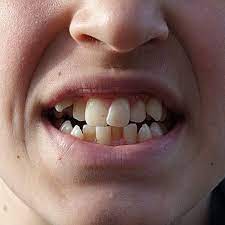
Crowded Teeth Treatment In Dubai occur when there isn’t enough space in the jaw to fit all teeth properly, leading to overlapping, twisting, or uneven spacing. The overcrowded teeth treatment process works by applying controlled and consistent pressure to gradually move teeth into correct alignment. Dentists often use braces, aligners, or retainers to achieve this correction. These tools carefully reposition the teeth and jaw over time, helping patients achieve both functional improvement and aesthetic enhancement. Patients frequently ask: “Is the treatment painful?” The truth is, while there may be mild discomfort initially, advancements in orthodontics have made treatments more comfortable and effective.
Importance of Treatment:
Correcting overcrowded teeth goes beyond achieving a straight smile. Left untreated, overlapping teeth can trap food particles, making brushing and flossing difficult, which increases the risk of cavities, gum disease, and bad breath. In severe cases, jaw strain or headaches may develop due to uneven bite pressure. Many patients also ask: “Do overcrowded teeth get worse with age?” Yes, misalignment often worsens over time if not treated. By choosing overcrowded teeth treatment, individuals protect their oral health, improve chewing ability, and boost their self-confidence. Queries like “Is it worth fixing mild overcrowding?” often arise, and the answer is yes—early intervention can prevent more complex problems later.
Types of Treatment:
Different types of treatments are available depending on the severity of overcrowding. Each option works differently to gradually shift teeth into proper alignment:
- Traditional Braces: Metal or ceramic brackets with wires that guide teeth into position.
- Clear Aligners: Transparent, removable trays customized to straighten teeth discreetly.
- Lingual Braces: Braces placed behind the teeth, hidden from view.
- Retainers: Used after major correction to maintain results and prevent relapse.
- Cosmetic Dentistry: Veneers or reshaping may improve appearance in mild cases, though they don’t move teeth.
Common user queries include: “Which is faster, braces or aligners?” and “Can aligners fix severe crowding?” The answer depends on the individual’s dental structure. Professional guidance from experts like Dentists in Dubai can help determine the most suitable option.
Preparation for Treatment:
Before beginning treatment, preparation steps are crucial for ensuring success. The process often includes:
- Comprehensive dental examination and X-rays
- Digital impressions or scans to plan precise movements
- Thorough cleaning to remove plaque and tartar buildup
- Discussion of treatment goals and expected outcomes
- Personalized plan outlining duration and aftercare
Patients often ask: “Can I eat normally during treatment?” Adjustments may be needed, such as avoiding sticky foods, but most treatments are designed to fit smoothly into everyday routines. Clinics like Enfield Dental Clinic in Dubai often use advanced imaging technology to enhance comfort and accuracy during preparation.
Aftercare Following Treatment:
After completing overcrowded teeth treatment, aftercare ensures results are maintained for the long term. Patients are usually advised to wear retainers consistently, as teeth naturally tend to shift back. Good oral hygiene practices are equally important. Typical aftercare recommendations include:
- Wearing retainers as instructed by the dentist
- Brushing twice daily and flossing to maintain cleanliness
- Regular dental visits for monitoring progress
- Avoiding harmful habits like chewing ice or biting nails
Patients often ask: “How long do I have to wear retainers?” While it varies, many cases require long-term or even lifelong nighttime use. Consistent aftercare is key to maintaining results and preventing relapse.
Who Is the Ideal Candidate?
Not everyone requires the same treatment, but ideal candidates usually include:
- People with overlapping or rotated teeth
- Individuals struggling to maintain oral hygiene due to misalignment
- Patients experiencing bite problems or jaw strain
- Adults and teenagers seeking a straighter, healthier smile
A frequent user query is: “Can children fix overcrowded teeth early?” Yes, early intervention is often recommended for kids, as their jaws are still developing and respond well to orthodontic adjustments.
How to Choose the Right Clinic?
Choosing the right clinic is just as important as selecting the right treatment. Patients often search for “best Dental Clinic Near me” to find a trusted option. Factors to consider include:
- Clinics equipped with modern technology such as 3D imaging and digital impressions
- Availability of both braces and aligner treatments
- A patient-centered approach with clear guidance on treatment and aftercare
- Reputation for providing safe, comfortable care
Many international patients search for “Dental Clinic Near me in Dubai” or recommendations for Dentists in Dubai, given the city’s global recognition for advanced dental care.
Risks of Overcrowded Teeth Treatment:
Though generally safe, overcrowded teeth treatment may carry some minor risks. These include:
- Temporary soreness or discomfort during adjustments
- Risk of decay if oral hygiene isn’t maintained properly
- Speech challenges with certain appliances
- Relapse if retainers are not used consistently
Patients often ask: “Are there serious side effects?” In most cases, risks are minimal and manageable with proper care, making treatment safe and beneficial.
Benefits of Overcrowded Teeth Treatment:
The benefits of fixing overcrowded teeth extend far beyond a beautiful smile:
- Improved oral hygiene and easier brushing and flossing
- Lower risk of gum disease and tooth decay
- Balanced bite and improved chewing function
- Boosted self-confidence with a straighter smile
- Long-lasting improvement in overall oral health
User queries such as “Will fixing overcrowded teeth improve confidence?” highlight the importance of aesthetics. The answer is yes—many patients report significant improvements in both appearance and self-esteem.
FAQs About Overcrowded Teeth Treatment:
- Can aligners fix overcrowded teeth?
- Yes, though severe cases may require braces.
- Is the treatment painful?
- Mild discomfort may occur, but it fades quickly.
- Do overcrowded teeth relapse?
- Without retainers, relapse is possible.
- How long does treatment take?
- It varies, typically ranging from months to a couple of years.
- Is there an age limit?
- No, adults and seniors can benefit from treatment too.
Conclusion:
Understanding how dentists fix overcrowded teeth is essential for anyone considering orthodontic care. The best overcrowded teeth treatment depends on factors such as severity, lifestyle preferences, and oral health goals. From traditional braces to modern aligners, there are options available for every need. Whether you are searching for a Dental Clinic Near me, exploring advanced care at a Dental Clinic Near me in Dubai, or looking into trusted Dentists in Dubai, the path to a straighter, healthier smile starts with professional guidance. By committing to preparation, treatment, and aftercare, patients can enjoy both aesthetic and health benefits for years to come. Ultimately, correcting overcrowded teeth is about more than looks—it’s about ensuring lifelong dental health and confidence.

Comments