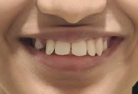
A confident smile is often considered one of the most important features of personal appearance. However, many people struggle with protruding teeth, also known as overjet or buck teeth. The condition can impact oral health, speech, and self-esteem. A common query among patients is “How can protruding teeth be corrected?” The good news is that modern dentistry offers multiple solutions. This article explores treatments, benefits, aftercare, and key considerations to help you make informed decisions. If you are searching for a Dental Clinic Near me, understanding your treatment options will give you clarity on the path to a healthier smile.
What is Treatment and How It Works?
The purpose of Protruding Teeth Treatment In Dubai is to reposition teeth and jaws for better function and appearance. The process starts with a detailed dental examination that includes x-rays, scans, and impressions. Based on the severity, different treatment methods are recommended.
The correction works gradually by applying controlled forces to move teeth into ideal positions. For mild cases, clear aligners or braces may be enough. For severe cases, surgical options might be suggested. Many people ask, Do braces fix protruding teeth permanently? or Can aligners treat protruding front teeth? The answer depends on your unique condition, but both options can provide long-term results with proper aftercare.
Importance of Treatment:
Correcting protruding teeth is more than a cosmetic choice. It plays a crucial role in oral health and overall well-being. Untreated protrusion can lead to multiple issues:
- Increased risk of trauma or chipping due to exposed front teeth.
- Difficulty in speaking or chewing properly.
- Uneven wear and tear on teeth.
- Gum problems and jaw discomfort.
- Negative impact on confidence and self-image.
Queries such as “Do protruding teeth affect confidence?” or “Do protruding teeth cause speech problems?” highlight the importance of timely correction. By addressing the condition early, patients can avoid long-term complications and enjoy a healthier smile.
Types of Treatment:
Different treatment methods are available depending on severity and personal needs. Each option has unique advantages, and patients often ask, “Which braces are best for protruding teeth?” or “Can protruding teeth be fixed without braces?”. Here are the most common solutions:
Braces:
Traditional metal braces are highly effective for correcting protruding teeth. They use brackets and wires to guide teeth into position gradually.
Ceramic Braces:
A more aesthetic version of braces, with tooth-colored brackets for less visibility.
Clear Aligners:
Removable, nearly invisible trays designed to shift teeth over time. Many ask, “Can Invisalign fix protruding teeth in adults?” — yes, aligners are effective for mild to moderate cases.
Lingual Braces:
Placed behind the teeth, these braces remain hidden but deliver strong results.
Surgical Options:
In severe cases, orthognathic surgery may be recommended to align both teeth and jaws.
Each of these treatments addresses common user queries like “Are braces faster than aligners for protruding teeth?” and ensures tailored solutions.
Preparation:
Before starting treatment, preparation is essential for success. This phase ensures your mouth is healthy and ready for orthodontic care. Steps may include:
- Professional dental cleaning and cavity treatment.
- Removal of problematic wisdom teeth if necessary.
- Digital scans or impressions for accurate treatment planning.
- Discussion of lifestyle adjustments during treatment, such as dietary changes with braces.
People often ask, Is protruding teeth treatment painful? The discomfort is usually minimal and temporary, mostly occurring during adjustments or when new aligner trays are fitted.
Aftercare:
The success of protruding teeth correction depends heavily on proper aftercare. After completing treatment, your orthodontist will recommend specific steps to maintain results:
- Wearing retainers regularly to prevent relapse.
- Attending follow-up appointments to monitor progress.
- Practicing strong oral hygiene habits, including brushing and flossing.
- Avoiding hard or sticky foods if wearing braces.
Common questions include Do I need a retainer after protruding teeth treatment? and “Can protruding teeth relapse after treatment?”. The answer is yes, retainers are critical for long-term stability.
Ideal Candidate:
Not everyone requires the same type of treatment. You may be an ideal candidate if you:
- Have noticeable forward teeth misalignment.
- Struggle with chewing, speaking, or biting.
- Experience self-consciousness due to your smile.
- Are willing to commit to the treatment timeline and aftercare.
People often ask, Is protruding teeth treatment safe for adults? The answer is yes—treatment can be successful at any age, provided gums and teeth are healthy.
How to Choose the Right Clinic?
Selecting the right clinic is key to achieving the best outcome. Many search for “Dentists in Dubai” or “Enfield Dental Clinic in Dubai” when exploring their options. Here are tips for making the right choice:
- Ensure the clinic offers multiple treatment options including braces, aligners, and surgery.
- Look for modern equipment and advanced diagnostic tools.
- Check reviews and patient experiences.
- Choose a location convenient for regular visits, like a Dental Clinic Near me.
Risks:
Like all medical treatments, protruding teeth correction has some risks, though most are minor and manageable:
- Temporary soreness or discomfort.
- Gum irritation or small ulcers from braces.
- Slight risk of root resorption in rare cases.
- Risk of relapse without consistent aftercare.
Patients often search, Is protruding teeth treatment safe? yes, when supervised by professionals, risks are minimal.
Benefits:
The benefits of correction far outweigh any temporary inconveniences. Key benefits include:
- A straighter, more appealing smile.
- Improved bite alignment and chewing function.
- Better oral hygiene and reduced cavity risk.
- Enhanced self-confidence and social interactions.
- Long-term protection against dental and jaw problems.
These benefits answer common queries like “Will fixing protruding teeth improve my smile?” and “Is protruding teeth treatment worth it?”.
FAQs:
- Can protruding teeth be fixed in 6 months?
- Mild cases may improve, but full results take longer.
- Do protruding teeth lead to jaw pain?
- Yes, they can if untreated.
- Can protruding teeth be corrected at home?
- No, only professional treatment works.
- Do clear aligners work for protruding teeth?
- Yes, they are effective for mild to moderate cases.
- Do protruding teeth increase the risk of cavities?
- Yes, because they’re harder to clean.
Conclusion:
To answer the question, “How can protruding teeth be corrected?”, the best treatment depends on your individual needs and severity of misalignment. Options range from traditional braces and clear aligners to surgical procedures in complex cases. The importance of treatment lies not only in aesthetics but also in maintaining oral health and functionality. Aftercare, preparation, and selecting the right clinic play an essential role in achieving lasting results. If you’re beginning this journey and looking for a Dental Clinic Near me, take time to evaluate your options and commit to the process. With the right approach, protruding teeth correction can transform your smile and improve your quality of life.

Comments