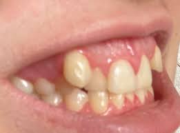
Many people struggle with overlapping or crowded teeth but hesitate to get traditional braces because of their appearance or lifestyle limitations. The good news is, there are modern alternatives that can effectively correct this issue. If you’re wondering how can I fix overlapping teeth without braces, this guide explores advanced options that align your smile discreetly and comfortably. Whether you’re looking for a Dental Clinic Near me, a trusted Dental Clinic Near me in Dubai, or professional guidance from experienced Dentists in Dubai, understanding these treatments can help you make an informed decision.
What Is the Treatment and How It Works?
Fixing Overlapping Teeth Treatment in Dubai without braces involves using innovative orthodontic or cosmetic techniques to reposition or reshape teeth without metal wires or brackets. The main goal is to create balanced spacing and alignment that enhances your smile and supports oral health.
These treatments work by applying gentle, consistent pressure to move teeth gradually into the correct position or by improving their appearance using restorative methods. Clear aligners, veneers, and contouring are the most common non-brace solutions. Each of these methods focuses on achieving natural alignment while maintaining comfort and aesthetics.
Modern digital imaging and 3D scanning allow dentists to design personalized treatment plans, ensuring precision in every step. With these methods, you can fix overlapping teeth subtly—without the discomfort or visibility of traditional braces.
Importance of Treating Overlapping Teeth:
Leaving overlapping teeth untreated can lead to more than just cosmetic concerns. Overlapping can cause improper cleaning, uneven tooth wear, and gum inflammation. Treating overlapping teeth not only improves appearance but also prevents potential oral health complications.
Here are a few reasons why fixing overlaps is important:
- Prevents plaque buildup and cavities.
- Improves gum health and reduces the risk of periodontal issues.
- Enhances bite alignment and speech clarity.
- Boosts self-confidence with a balanced smile.
Early treatment helps preserve natural tooth structure and prevents the need for more complex dental interventions later. Regular visits to qualified professionals, such as those at Enfield Dental Clinic in Dubai, ensure your teeth remain healthy and well-aligned for years.
Types of Treatment:
When it comes to fixing overlapping teeth without braces, several modern techniques are available. Each method varies in approach, comfort, and duration but shares one goal—achieving a straighter, more confident smile.
- Clear Aligners: Custom-made trays that gradually move teeth into proper position. These removable, nearly invisible aligners are convenient and discreet, making them a popular alternative to braces.
- Dental Veneers: Thin porcelain or composite shells that cover the front of teeth, instantly creating a straightened and uniform look. Ideal for mild to moderate overlapping.
- Tooth Contouring (Enamel Shaping): A simple, painless procedure where small amounts of enamel are reshaped to smooth overlaps and improve symmetry.
- Bonding: Uses tooth-colored resin to build up and reshape teeth for a more aligned appearance. Suitable for slight overlaps or minor cosmetic adjustments.
- Retainers: In some cases, retainers can be used to maintain or gently guide teeth into better alignment after minor shifting.
Each of these methods provides effective results based on your individual dental condition. Consulting a professional can help determine which solution best fits your needs.
Preparation for Treatment:
Before beginning treatment, a thorough dental evaluation is essential. Your dentist will assess the extent of overlap, gum condition, and tooth structure to create a customized plan. Preparation steps usually include:
- Comprehensive dental examination and 3D scans.
- Professional cleaning to remove plaque and tartar.
- Discussion of goals, duration, and expected outcomes.
- Planning for follow-up visits and aftercare.
If aligners or veneers are chosen, digital impressions will be taken to ensure perfect fit and comfort. Patients should maintain good oral hygiene and follow pre-treatment advice closely to maximize results.
Aftercare and Maintenance:
After your overlapping teeth are corrected, maintaining results requires consistency and care. Proper aftercare ensures long-lasting alignment and overall oral health.
Post-treatment tips include:
- Wearing retainers as recommended to prevent teeth from shifting back.
- Maintaining daily brushing and flossing routines.
- Visiting your dentist regularly for check-ups and cleanings.
- Avoiding excessive pressure on teeth from habits like biting nails or chewing hard objects.
- Following dietary advice to protect enamel and restorations.
With consistent care, results from non-brace treatments can last for many years, keeping your smile straight, healthy, and radiant.
Ideal Candidate for Non-Brace Treatments:
Non-brace treatments are ideal for people who want to fix overlapping teeth without the visibility or inconvenience of metal braces. The best candidates typically:
- Have mild to moderate overlapping.
- Maintain good oral hygiene and gum health.
- Prefer a discreet, aesthetic solution.
- Can commit to wearing aligners or following aftercare instructions.
- Are seeking a comfortable and efficient method to enhance their smile.
Adults and teens alike can benefit from these modern treatments, as they offer flexibility and confidence throughout the process.
How to Choose the Right Clinic?
Choosing the right dental clinic plays a crucial role in achieving optimal results. When searching for a Dental Clinic Near me in Dubai or specialized Dentists in Dubai, keep these points in mind:
- Check for advanced orthodontic and cosmetic equipment.
- Ensure the clinic offers a range of non-brace options.
- Look for experienced professionals with positive patient feedback.
- Review before-and-after images of similar cases.
- Prioritize comfort, cleanliness, and personalized care.
A well-equipped, patient-focused clinic ensures your treatment journey is safe, efficient, and satisfying from start to finish.
Risks and Considerations:
Although non-brace treatments are safe and minimally invasive, there are still minor risks to consider:
- Temporary tooth sensitivity after contouring or bonding.
- Mild discomfort during initial aligner use.
- Possible relapse if retainers aren’t worn as prescribed.
- Veneer or bonding repairs over time due to wear or damage.
These risks are minimal and manageable with proper care and follow-up. Regular dental visits help monitor progress and maintain long-term stability.
Benefits of Fixing Overlapping Teeth Without Braces:
Opting for non-brace treatments offers numerous advantages that go beyond aesthetics:
- Discreet and comfortable correction methods.
- Minimal interference with daily life and eating habits.
- Faster results compared to traditional braces in many cases.
- Improved oral hygiene due to better alignment.
- Enhanced self-esteem and natural smile aesthetics.
These benefits make modern orthodontic and cosmetic treatments an excellent choice for those seeking both function and beauty without the hassle of metal braces.
Frequently Asked Questions (FAQs):
Can overlapping teeth be fixed permanently without braces?
Yes, depending on the severity, clear aligners or veneers can provide lasting results when combined with good aftercare.
How long does treatment take?
Treatment duration varies, but most non-brace solutions can show visible improvement in a few months.
Are clear aligners effective for adults?
Absolutely. Clear aligners are designed for adults and teens who prefer subtle and convenient alignment correction.
Will veneers look natural?
Yes, modern veneers are crafted to match the shape, shade, and translucency of your natural teeth.
Is tooth contouring safe?
When performed by a skilled professional, enamel contouring is completely safe and painless.
Can I eat normally with aligners or veneers?
Yes, aligners are removable during meals, and veneers allow you to enjoy your favorite foods with care.
Conclusion:
Correcting overlapping teeth doesn’t always require braces. Thanks to advanced cosmetic and orthodontic options like aligners, veneers, and contouring, you can achieve a beautifully aligned smile comfortably and discreetly. If you’re exploring how can I fix overlapping teeth without braces, start by consulting an expert at a reputable Dental Clinic Near me or a specialized Dental Clinic Near me in Dubai. Clinics such as Enfield Dental Clinic in Dubai are equipped with advanced technology and experienced Dentists in Dubai who can create customized solutions suited to your needs. With proper guidance, preparation, and aftercare, you can enjoy long-term results and a confident smile. Taking the step to fix overlapping teeth today is an investment in your oral health, appearance, and overall well-being.

Comments