Completing orthodontic treatment with braces is a huge achievement, but the journey to a perfect smile doesn’t end there. To maintain alignment and prevent relapse, Dental Retainers In Dubai are essential. These custom-made devices hold teeth in their new positions, ensuring long-term stability and preserving the results achieved through months or years of orthodontic care. Whether you are searching for a Dental Clinic Near me, a Dental Clinic Near me in Dubai, or consulting Dentists in Dubai, learning how retainers work after braces is the key to maintaining a confident, healthy smile.
What Is the Treatment and How It Works?
Dental retainers are designed to stabilize teeth after braces have straightened them. When braces are removed, teeth and surrounding tissues remain flexible, making them prone to shifting. Retainers counteract this by applying gentle pressure to keep teeth in place until bone and gum tissues adapt fully to the new alignment.
How retainers function:
- Prevent natural shifting caused by chewing forces.
- Support jaw alignment achieved through braces.
- Help tissues “remember” the corrected position of teeth.
Patients who visit an Enfield Dental Clinic in Dubai or rely on skilled Dentists in Dubai are guided on the proper duration and type of retainer use for their individual cases.
Importance of the Treatment:
The importance of wearing dental retainers after braces cannot be overstated. Without them, the results of orthodontic treatment may fade over time.
Key reasons they are important:
- Teeth naturally tend to move back to their original place.
- Retainers maintain spacing and bite correction.
- Long-term stability enhances both function and aesthetics.
Those searching for a Dental Clinic Near me benefit from expert advice on why consistent retainer wear is crucial. For residents specifically seeking a Dental Clinic Near me in Dubai, following professional aftercare guidelines ensures a lasting, beautiful smile.
Types of Treatment:
There are several types of dental retainers, each serving specific needs:
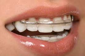
Removable Retainers
- Made of acrylic or clear plastic.
- Easy to remove for eating and cleaning.
- Discreet and comfortable for daily use.
Fixed Retainers
- Bonded behind the teeth.
- Offer continuous support.
- Effective for patients at higher risk of relapse.
Clear Retainers
- Transparent, making them nearly invisible.
- Similar to aligners but designed for retention.
At an Enfield Dental Clinic in Dubai or other reputable centers with experienced Dentists in Dubai, patients often receive tailored recommendations for the most suitable type of retainer based on their orthodontic history.
Preparation Before Retainers:
Proper preparation ensures that dental retainers work effectively:
- Digital scans or impressions are taken to create custom retainers.
- A final dental cleaning may be done to avoid trapping plaque.
- Patients are instructed on care routines and wearing schedules.
Searching for a Dental Clinic Near me guarantees access to personalized preparation. Those looking for a Dental Clinic Near me in Dubai can expect advanced technology for precise fitting and comfort.
Aftercare for Retainers:
Aftercare is crucial to make sure dental retainers last long and remain effective. Simple daily habits help preserve both the device and oral health.
Tips for effective aftercare:
- Clean retainers daily with recommended solutions.
- Avoid using hot water that may warp plastic retainers.
- Keep retainers in a protective case when not in use.
- Schedule routine checkups with Dentists in Dubai to ensure correct fit.
Patients visiting an Enfield Dental Clinic in Dubai or any trusted Dental Clinic Near me will receive detailed aftercare instructions tailored to their lifestyle.
Ideal Candidate for Retainers:
Not all orthodontic patients have the same needs, but most benefit from dental retainers after braces. Ideal candidates include:
- Individuals who completed braces or aligner treatment.
- Patients who corrected spacing, crowding, or bite issues.
- Those prone to relapse due to natural shifting.
By consulting Dentists in Dubai or an Enfield Dental Clinic in Dubai, patients receive guidance on whether retainers should be worn part-time, full-time, or indefinitely.
How to Choose the Right Clinic?
Choosing the right place for retainer treatment is critical to long-term success. Consider the following when searching for a Dental Clinic Near me:
- Qualified and experienced orthodontic professionals.
- Access to advanced scanning and retainer technology.
- Strong patient reviews and reputation for aftercare.
Patients in Dubai often compare local Dentists in Dubai and may choose an Enfield Dental Clinic in Dubai for its reliable services and expertise.
Risks of Retainers:
While dental retainers are safe, there are potential challenges:
- Initial discomfort or tightness.
- Possible changes in speech for some patients.
- Risk of losing removable retainers.
- Plaque buildup if cleaning is neglected.
Visiting a Dental Clinic Near me in Dubai or consulting experienced Dentists in Dubai reduces these risks with professional advice and monitoring.
Benefits of Retainers:
The benefits of dental retainers extend far beyond maintaining straight teeth.
Advantages include:
- Long-lasting stability of orthodontic results.
- Prevention of crowding or relapse.
- Preservation of a balanced bite.
- Confidence from a straight, attractive smile.
By visiting an Enfield Dental Clinic in Dubai or any reputable Dental Clinic Near me, patients enjoy peace of mind knowing their orthodontic investment is secure.
FAQs About Dental Retainers:
How long do I need to wear retainers after braces?
Most patients need to wear them long-term, though schedules vary.
Can I eat while wearing my retainer?
No, removable retainers should be taken out during meals.
How should I clean my retainer?
Use mild soap or specialized cleaning products, never boiling water.
What happens if I stop wearing my retainer?
Teeth may shift back, undoing orthodontic results.
Do retainers affect speech?
Some patients notice minor changes initially, but this improves quickly.
Can retainers fix misaligned teeth?
No, they only maintain alignment, not correct it.
Conclusion:
Wearing dental retainers after braces is the final and most important step in preserving a straight, healthy smile. They work by stabilizing teeth and preventing natural relapse, ensuring that the effort invested in orthodontics is protected for life. Whether you are looking for a Dental Clinic Near me, considering a Dental Clinic Near me in Dubai, or seeking advice from experienced Dentists in Dubai, choosing the right place ensures proper guidance, aftercare, and long-term success. Many patients trust an Enfield Dental Clinic in Dubai for reliable and advanced retainer care. By understanding how retainers work and committing to consistent wear, you can enjoy a confident smile that lasts a lifetime.

Comments