Introduction
Tooth fillings are a common dental procedure used to repair cavities and restore damaged teeth. In a city like Dubai, known for its state-of-the-art healthcare facilities, the cost of dental treatments can vary significantly. This article provides an in-depth look at the true cost of tooth fillings in Dubai, what factors influence these costs, and what patients can expect during the process.
Understanding Tooth Fillings
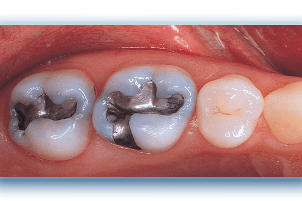
Tooth fillings are used to treat cavities caused by tooth decay. They help restore the function and integrity of damaged teeth. The procedure involves removing the decayed portion of the tooth and filling the cavity with a suitable material. The most common types of filling materials include amalgam (silver), composite resin, gold, and porcelain.
Factors Influencing the Cost of Tooth Fillings in Dubai
Several factors can influence the cost of tooth fillings in Dubai, including:
1. Type of Filling Material
Different filling materials have varying costs. Amalgam fillings are typically the least expensive, while gold and porcelain fillings are more costly due to their durability and aesthetic appeal. Composite resin fillings, which match the color of natural teeth, are moderately priced.
2. Dentist's Expertise and Reputation
The expertise and reputation of the dentist can significantly impact the cost of the procedure. Highly experienced dentists or those with specialized training may charge higher fees for their services.
3. Location of the Dental Clinic
Dental clinics located in prime areas or upscale neighborhoods in Dubai tend to have higher operating costs, which are often reflected in their treatment prices. Clinics in more accessible or less prestigious areas may offer more competitive rates.
4. Complexity of the Procedure
The complexity of the dental issue being addressed also affects the cost. Simple fillings for minor cavities are less expensive compared to more complex procedures involving multiple teeth or additional dental work, such as root canals.
5. Use of Advanced Technology
Clinics that use advanced technology, such as digital X-rays, laser dentistry, or CAD/CAM systems for creating fillings, may charge higher fees due to the enhanced precision and efficiency these technologies provide.
What to Expect During the Procedure
1. Initial Consultation
The process begins with an initial consultation where the dentist examines your teeth, takes X-rays, and discusses your dental history. This helps determine the extent of decay and the best filling material for your needs.
2. Anesthesia Administration
Before the procedure, the dentist administers a local anesthetic to numb the area around the affected tooth. This ensures that you do not feel any pain during the treatment.
3. Decay Removal
The dentist uses a drill or laser to remove the decayed portion of the tooth. The area is then cleaned to remove any bacteria or debris.
4. Filling the Cavity
Once the decay is removed, the dentist fills the cavity with the chosen material. For composite resin fillings, the material is applied in layers and hardened using a special light.
5. Shaping and Polishing
After the filling is placed, the dentist shapes and polishes it to match the natural contour of the tooth. This ensures that the filling is comfortable and blends seamlessly with your other teeth.
Post-Procedure Care
After getting a tooth filling, it’s essential to follow proper dental care to maintain the filling and prevent further decay. Here are some tips:
1. Maintain Good Oral Hygiene
Brush your teeth twice a day with fluoride toothpaste and floss daily to remove plaque and food particles.
2. Avoid Hard and Sticky Foods
Avoid chewing on hard or sticky foods that can damage the filling. Opt for a balanced diet that supports overall dental health.
3. Regular Dental Check-Ups
Schedule regular dental check-ups to monitor the condition of your fillings and address any issues promptly.
4. Be Mindful of Sensitivity
It’s normal to experience some sensitivity to hot or cold foods after getting a filling. This should subside within a few days. If sensitivity persists, contact your dentist.
Conclusion
Understanding the true cost of tooth fillings in Dubai involves considering various factors such as the type of filling material, the dentist’s expertise, the clinic’s location, and the complexity of the procedure. By being informed about these aspects, patients can make better decisions regarding their dental care. Regular dental check-ups and proper oral hygiene are crucial for maintaining the longevity of fillings and overall dental health.

Comments