Maintaining oral health is a lifelong commitment, and one often overlooked solution to protect your teeth is the use of night guards and stayplates. These dental devices play an essential role in preserving your teeth and reducing damage caused by habits like grinding or clenching during sleep. In this article, we’ll explore how night guards and stayplates work, their benefits, and why opting for custom-made devices is the best choice for ensuring optimal oral health and comfort.
What Are Night Guards and Stayplates?
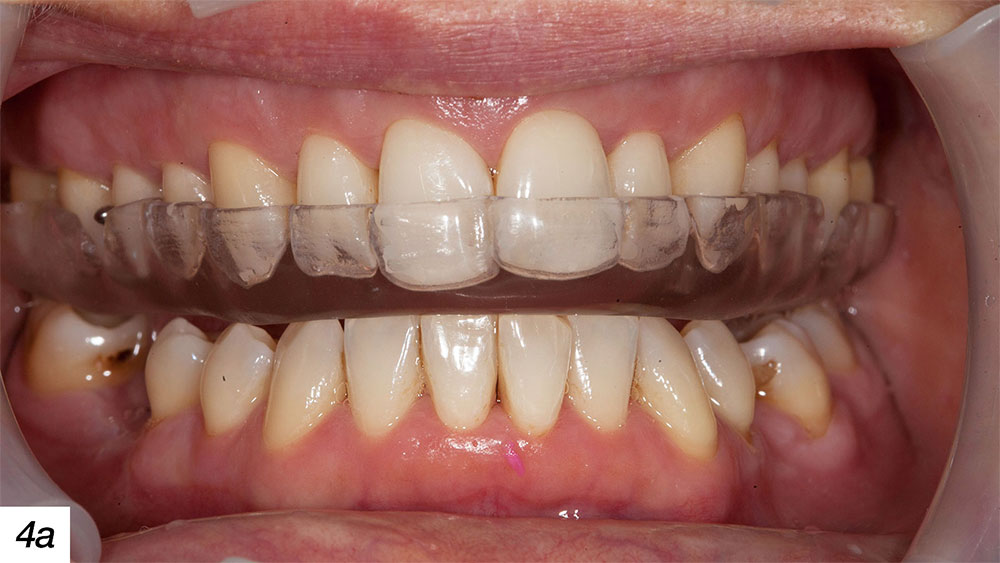
Night guards and stayplates are dental devices designed to protect the teeth during sleep. These devices are commonly recommended for individuals who suffer from bruxism, which is the habitual grinding or clenching of teeth, usually during sleep. Over time, bruxism can lead to worn-down enamel, cracked or chipped teeth, and jaw pain. Night guards stayplates serve as a protective barrier between the upper and lower teeth, preventing direct contact and reducing the pressure that grinding or clenching can cause.
While the terms "night guards" and "stayplates" are often used interchangeably, stayplates are typically designed to be worn for more specific reasons. Stayplates may be recommended for individuals who need to protect their teeth during certain treatments or while recovering from dental procedures. In contrast, night guards are often worn to prevent teeth grinding during sleep.
The Importance of Wearing a Night Guard or Stayplate
Teeth grinding and clenching are common problems, affecting millions of people worldwide. Whether it's due to stress, anxiety, or an underlying medical condition, the effects of bruxism can be severe. Over time, grinding can wear down teeth and lead to the need for expensive dental treatments, including fillings, crowns, or even root canals.
Night guards and stayplates offer effective protection by acting as a cushion, absorbing the pressure and preventing the teeth from touching each other. This can help reduce wear and tear on the teeth, prevent jaw pain, and even alleviate headaches that are often associated with bruxism.
How Do Night Guards Stayplates Work?
Both night guards and stayplates are designed to fit comfortably over your teeth, creating a protective barrier between the upper and lower jaws. The materials used in these devices are specifically chosen for their durability and ability to withstand the pressure of grinding and clenching.
1. Night Guards
Night guards are typically made from durable, flexible materials like acrylic or thermoplastic, which can be molded to fit the unique shape of your teeth. When you wear a night guard, it absorbs the pressure exerted during teeth grinding or clenching, preventing damage to the teeth and minimizing discomfort in the jaw. Custom night guards are designed based on impressions of your teeth, ensuring an optimal fit and maximum comfort.
2. Stayplates
Stayplates are similar to night guards but may be used in specific cases such as post-surgical recovery or during the healing process after dental procedures like tooth extractions. Stayplates are often thinner and less bulky than night guards, but they serve a similar function of protecting the teeth and supporting proper alignment.
Stayplates can also be used in certain orthodontic treatments to ensure that teeth do not shift too much during the healing process. For individuals who wear braces, stayplates help maintain teeth position and stability during treatment.
Benefits of Night Guards Stayplates
There are numerous benefits to wearing night guards or stayplates, making them an essential part of many people’s oral care routines. Here are the primary advantages:
1. Protection Against Teeth Grinding
The primary function of night guards and stayplates is to protect the teeth from the damaging effects of bruxism. Constant grinding and clenching can wear down the enamel, which leads to sensitivity, cracks, and potential tooth loss. A night guard or stayplate provides a barrier that cushions the teeth and prevents them from grinding against each other.
2. Alleviation of Jaw Pain and Headaches
Bruxism can put immense strain on the jaw muscles and the temporomandibular joint (TMJ), leading to pain, tenderness, and even headaches. Night guards stayplates help alleviate this tension by absorbing the pressure, providing relief from jaw pain, and reducing the frequency of tension headaches.
3. Prevention of Tooth Damage
Worn-down teeth are one of the most common consequences of grinding. Without proper protection, the tooth enamel may be ground away, leaving teeth vulnerable to decay, fractures, or other dental issues. Using a night guard or stayplate ensures the long-term health and strength of your teeth by preventing damage from excessive wear.
4. Improved Sleep Quality
For those who grind their teeth at night, the discomfort and pain associated with bruxism can lead to poor sleep quality. Wearing a night guard can reduce the discomfort in the jaw and teeth, promoting a more restful sleep. By minimizing pain and discomfort, night guards help individuals enjoy better quality rest.
5. Cost-Effective Solution
While the upfront cost of a custom night guard or stayplate may seem like an investment, it is far more cost-effective than dealing with the consequences of untreated bruxism. Repairing damaged teeth, replacing fillings, or undergoing more complex dental procedures can be much more expensive than simply wearing a protective device during sleep.
Custom Night Guards Stayplates: The Key to Comfort and Effectiveness
While there are numerous over-the-counter options available, custom-made night guards and stayplates offer the best fit, comfort, and protection. Off-the-shelf devices often fail to provide the precise fit necessary for optimal protection, which can lead to discomfort or insufficient results.
Custom night guards are made by taking precise impressions of your teeth and creating a mold that is tailored to the unique contours of your mouth. This ensures a perfect fit, allowing for maximum comfort and effectiveness in protecting your teeth from grinding.
In addition to comfort, a custom night guard is more durable than many generic versions. Custom-made devices are designed to withstand the pressure of grinding and clenching over long periods, ensuring that they last longer and provide ongoing protection.
How Are Custom Night Guards Stayplates Made?
The process of obtaining a custom night guard or stayplate typically involves visiting a dental professional. During the visit, your dentist or dental technician will take detailed impressions of your teeth, which are then used to create a mold. Based on this mold, a custom device is crafted from high-quality materials to ensure a comfortable, secure fit.
After the custom night guard or stayplate is created, the dentist will check the fit to ensure that it is comfortable and provides optimal protection. Adjustments may be made if necessary to improve the fit or comfort.
Conclusion
Night guards and stayplates offer significant protection against the damaging effects of teeth grinding and clenching. By acting as a barrier between the upper and lower teeth, these devices help preserve tooth enamel, alleviate jaw pain, and prevent headaches. Custom-made night guards and stayplates provide superior comfort and protection compared to over-the-counter alternatives, ensuring that individuals receive the most effective solution to their dental concerns.
For those interested in obtaining a custom night guard or stayplate, OD’s Dental Laboratory, Inc. offers professional services that create high-quality, custom-made devices tailored to your specific needs. With their expertise and commitment to excellence, OD’s Dental Laboratory, Inc. ensures that your dental health remains protected and well-maintained. Reach out today to take the first step toward better oral health with a custom night guard or stayplate!

Comments