Nestled in the heart of Vaishali Nagar, Jaipur, Lotus Imaging & Diagnostic Centre stands out as the Best Diagnostic Centre in Vaishali Nagar, Jaipur. With a commitment to advanced medical diagnostics and compassionate care, Lotus Imaging offers a comprehensive range of services including ultrasound, sonography, X-ray, urine testing, and more.
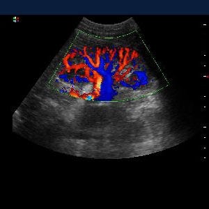
Among its cutting-edge technologies is Colour Doppler, a vital tool in diagnostic imaging. This technique utilizes sound waves to visualize blood flow in real-time, providing crucial information about vascular health and identifying abnormalities. At Lotus Imaging, patients benefit from state-of-the-art Colour Doppler technology, ensuring accurate diagnoses and precise treatments.
Whether you’re seeking a Diagnostic Centre Near Me for routine health screenings or specialized tests, Lotus Imaging in Vaishali Nagar, Jaipur, caters to all your diagnostic needs. The Ultrasound Centre in Vaishali Nagar, Jaipur is equipped with the latest ultrasound equipment for detailed imaging, while the Sonography Centre in Vaishali Nagar, Jaipur ensures comprehensive fetal and maternal screening.
Lotus Imaging also offers X-RAY in Vaishali Nagar, Jaipur, facilitating quick and reliable radiographic examinations. For those requiring precise diagnostics, the centre provides a trusted Urine Testing Centre in Vaishali Nagar, Jaipur, delivering accurate results promptly.
As a leading Diagnostic Centre in Vaishali Nagar, Jaipur, Lotus Imaging understands the importance of early detection and preventive healthcare. The Fetal Centre in Vaishali Nagar, Jaipur offers specialized care for expectant mothers, while Maternal Screening in Vaishali Nagar, Jaipur ensures the well-being of both mother and child throughout pregnancy.
Whether you’re visiting for routine tests or specialized consultations, Lotus Imaging & Diagnostic Centre in Vaishali Nagar, Jaipur, combines expertise with advanced technology to deliver unparalleled diagnostic services. Experience the difference in healthcare with us — where your health is our priority. Discover the excellence of Lotus Imaging today.
Comments